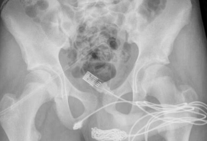
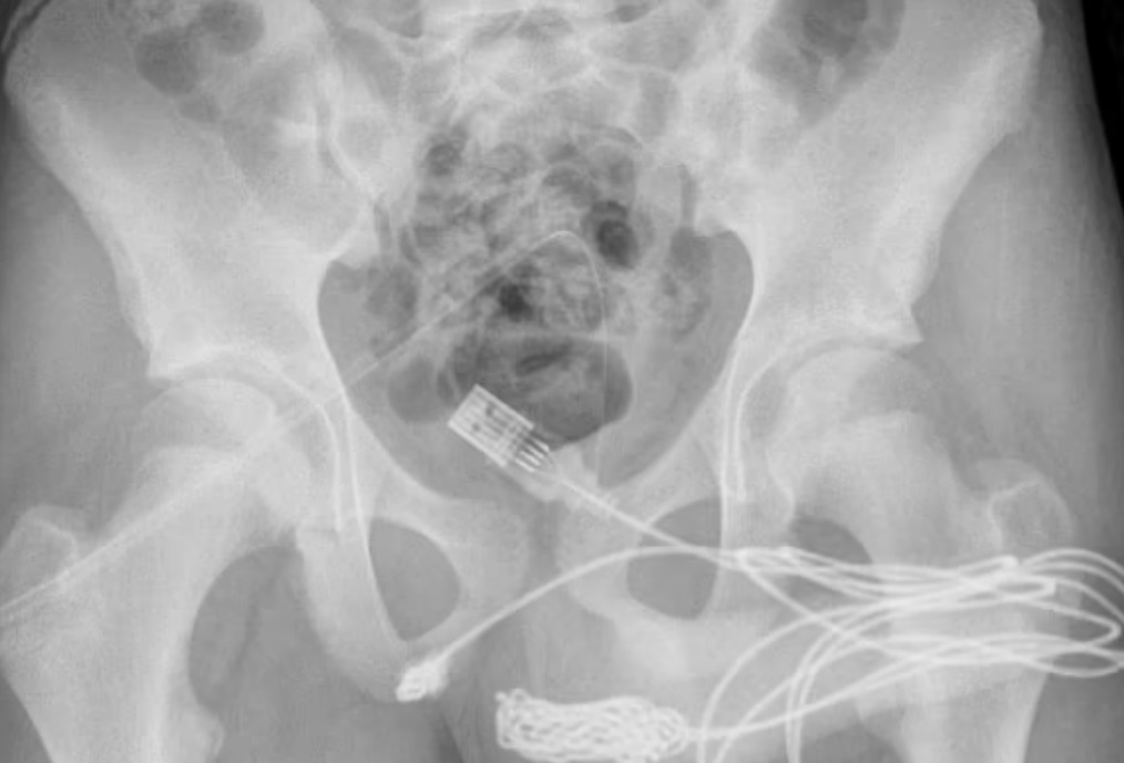
Ένα αρκετά περίεργο περιστατικό κλήθηκαν να αντιμετωπίσουν γιατροί στην Βρετανία καθώς ένας 15χρονος κατάφερε να σφηνώσει στο πέος του… ένα καλώδιο USB. Στην αρχή επιχείρησε να το αφαιρέσει μόνος του, αλλά – όπως ήταν αναμενόμενο – κατέληξε στο νοσοκομείο και υποβλήθηκε σε χειρουργείο.
Ο 15χρονος φέρεται να είπε στους γιατρούς – όπως αναφέρει δημοσίευμα της Daily Mail – ότι χρησιμοποίησε το καλώδιο USB γιατί ήθελε να κάνει ένα «πείραμα», μετρώντας με αυτό το πέος του. Το «πείραμα» του όμως δεν πέτυχε και το καλώδιο «κόλλησε» στο μόριο του.
Το παιδί – σύμφωνα με την Daily Mail – αρχικά προσπάθησε αρκετές φορές μόνο του να αφαιρέσει το καλώδιο, με αποτέλεσμα να τραυματιστεί. Οι γονείς του τον μετέφεραν στο νοσοκομείο και ο 15χρονος ζήτησε να εξετασθεί, δίχως να είναι παρούσα η μητέρα του, και τότε αποκάλυψε στους γιατρούς τι είχε κάνει.
Δυσκολία στην αφαίρεση του καλωδίου είχαν όμως και οι χειρούργοι του ουρολογικού τμήματος του νοσοκομείου. Αφού αφαιρέθηκαν τα βύσματα του USB, κατάφεραν τελικά να το αφαιρέσουν και μία μέρα αργότερα ο 15χρονος πήρε και εξιτήριο.
Οι μετέπειτα εξετάσεις του παιδιού έδειξαν ότι δεν υπήρχε πρόβλημα μετά το χειρουργείο, ωστόσο οι γιατροί του συνέστησαν να είναι προσεκτικός και για ένα διάστημα να το παρακολουθεί.
Με πληροφορίες από Daily Mail


































