ΒΟΛΟΣ
ΑΓΡΙΑ
ΑΓΧΙΑΛΟΣ
ΑΙΣΩΝΙΑ
ΑΡΤΕΜΙΔΑ
ΙΩΛΚΟΣ
ΜΑΚΡΥΝΙΤΣΑ
ΝΕΑ ΙΩΝΙΑ
ΠΟΡΤΑΡΙΑ
ΜΑΓΝΗΣΙΑ
ΑΛΜΥΡΟΣ
ΑΛΟΝΝΗΣΟΣ
ΖΑΓΟΡΑ – ΜΟΥΡΕΣΙ
ΝΟΤΙΟ ΠΗΛΙΟ
ΠΕΡΙΦΕΡΕΙΑ
ΡΗΓΑΣ ΦΕΡΑΙΟΣ
ΣΚΙΑΘΟΣ
ΣΚΟΠΕΛΟΣ
ΘΕΣΣΑΛΙΑ
ΚΑΡΔΙΤΣΑ
ΛΑΡΙΣΑ
ΤΡΙΚΑΛΑ
ΕΛΛΑΔΑ
ΟΙΚΟΝΟΜΙΑ
ΕΠΙΧΕΙΡΗΣΕΙΣ
ΟΙΚΟΝΟΜΙΑ
ΠΑΡΑΠΟΛΙΤΙΚΑ
ΑΘΛΗΤΙΚΑ
ΑΛΛΑ ΑΘΛΗΜΑΤΑ
ΑΝΤΙΣΦΑΙΡΙΣΗ
ΑΡΣΗ ΒΑΡΩΝ
ΒΟΛΕΫ
ΙΣΤΙΟΠΛΟΪΑ
ΚΑΤΑΔΥΣΕΙΣ
ΚΟΛΥΜΒΗΣΗ
ΚΩΠΗΛΑΣΙΑ
ΜΑΧΗΤΙΚΑ ΑΘΛΗΜΑΤΑ
JUDO
KARATE
KICK BOXING
SHIDOKAN
TAE KWON DO
ΠΥΓΜΑΧΙΑ
ΜΗΧΑΝΟΚΙΝΗΤΟΣ ΑΘΛΗΤΙΣΜΟΣ
ΜΠΙΤΣ ΒΟΛΕΫ
ΟΡΕΙΒΑΣΙΑ-ΧΙΟΝΟΔΡΟΜΙΑ
ΠΑΛΗ
ΠΟΔΗΛΑΣΙΑ
ΡΥΘΜΙΚΗ ΣΥΜΝΑΣΤΙΚΗ
ΣΚΑΚΙ
ΣΚΟΠΟΒΟΛΗ
ΣΤΙΒΟΣ
ΣΥΓΧΡΟΝΙΣΜΕΝΗ ΚΟΛΥΜΒΗΣΗ
ΥΔΑΤΟΣΦΑΙΡΙΣΗ
ΧΕΙΡΟΣΦΑΙΡΙΣΗ
ΒΙΝΤΕΟ
ΓΕΝΙΚΑ
ΜΠΑΣΚΕΤ
ΠΕΡΙΣΣΟΤΕΡΑ
ΑΥΤΟΚΙΝΗΤΟ
ΕΚΠΑΙΔΕΥΣΗ
ΕΞΟΔΟΣ
ΖΩΝΤΑΝΗ ΜΟΥΣΙΚΗ
ΦΑΓΗΤΟ
ΨΥΧΑΓΩΓΙΑ
ΚΟΙΝΩΝΙΑ
ΚΟΣΜΟΣ
ΠΑΣΧΑ 2020 – ΜΕΝΟΥΜΕ ΣΠΙΤΙ
ΠΕΡΙΒΑΛΛΟΝ
ΠΟΛΙΤΙΣΜΟΣ
ΕΙΚΑΣΤΙΚΑ
ΜΟΥΣΙΚΗ
ΠΑΡΑΣΤΑΣΕΙΣ
ΠΡΟΒΟΛΕΣ
ΠΡΟΣΩΠΑ
ΡΕΠΟΡΤΑΖ ΤΟΥ ΠΟΛΙΤΗ
ΤΕΧΝΟΛΟΓΙΑ
Αναζήτηση
Τετάρτη, 31 Δεκεμβρίου, 2025
Magnesia News
ΒΟΛΟΣ
Όλα
ΑΓΡΙΑ
ΑΓΧΙΑΛΟΣ
ΑΙΣΩΝΙΑ
ΑΡΤΕΜΙΔΑ
ΙΩΛΚΟΣ
ΜΑΚΡΥΝΙΤΣΑ
ΝΕΑ ΙΩΝΙΑ
ΠΟΡΤΑΡΙΑ
Έληξε το επεισόδιο με πυροβολισμό στον αέρα στον οικισμό ρομά Αλιβερίου
Εκατοντάδες Αη Βασίληδες πλημμύρισαν τους δρόμους του Βόλου για καλό σκοπό…
Βόλος: Η παρατήρηση στη φίλη της κόρης του έφερε καταγγελία στην…
Συναγερμός στο Αλιβέρι με πυροβολισμούς- Τι συνέβη
ΜΑΓΝΗΣΙΑ
Όλα
ΑΛΜΥΡΟΣ
ΑΛΟΝΝΗΣΟΣ
ΖΑΓΟΡΑ – ΜΟΥΡΕΣΙ
ΝΟΤΙΟ ΠΗΛΙΟ
ΠΕΡΙΦΕΡΕΙΑ
ΡΗΓΑΣ ΦΕΡΑΙΟΣ
ΣΚΙΑΘΟΣ
ΣΚΟΠΕΛΟΣ
Έρχονται χιόνια στο Πήλιο
Μαγνησία: Ήρθε από την Αυστραλία για να δει την σύντροφό του…
Τριπλό δημοψήφισμα προαναγγέλλει στον δήμο Νοτίου Πηλίου ο Μιχάλης Μιτζικός!
Αγώνας δρόμου για την έγκαιρη καταβολή των επιδομάτων στη Μαγνησία
ΘΕΣΣΑΛΙΑ
Όλα
ΚΑΡΔΙΤΣΑ
ΛΑΡΙΣΑ
ΤΡΙΚΑΛΑ
Οι αγρότες ετοιμάζονται για «ρεβεγιόν» στα μπλόκα: Κλιμακώνονται οι κινητοποιήσεις, σκληραίνει…
Κουρέτας για εθελοντές αιμοδότες: «Οι άνθρωποι αυτοί είναι οι ευεργέτες της…
Παντρεύτηκαν και πήγαν για φωτογράφιση στον Μύλο των Ξωτικών (βίντεο)
Plan b για τον τερματισμό των μπλόκων βάζει μπροστά η κυβέρνηση…
ΕΛΛΑΔΑ
Το μυστήριο με τις 5 διαθήκες και το ενδεχόμενο διπλής δολοφονίας…
Αποκαλύψεις για τη σύντροφο του 60χρονου γιου της Ελένης Παπαδοπούλου –…
Σοκάρει ο 5ος ορειβάτης που ακύρωσε την ανάβαση – «Γλίτωσα αλλά…
«Θέλω να δω τα παιδιά μου, δεν έκανα τίποτα για να…
Στη φυλακή ο 60χρονος γιος της Ελένης Παπαδοπούλου για την δολοφονία…
ΟΙΚΟΝΟΜΙΑ
Όλα
ΕΠΙΧΕΙΡΗΣΕΙΣ
ΟΙΚΟΝΟΜΙΑ
Χειμερινές εκπτώσεις : Πότε ξεκινούν και τι πρέπει να προσέξουν οι…
Στουρνάρας: Έως 2,4% η ανάπτυξη – Περιορισμένος ο κίνδυνος μετά το…
Red carpet …έκπλήξη στο κέντρο της Αθήνας με τον Λάκη Γαβαλά…
Μέχρι αύριο η προθεσμία για τα τέλη κυκλοφορίας – Τι ισχύει…
ΠΑΡΑΠΟΛΙΤΙΚΑ
ΑΘΛΗΤΙΚΑ
Όλα
ΑΛΛΑ ΑΘΛΗΜΑΤΑ
ΑΝΤΙΣΦΑΙΡΙΣΗ
ΑΡΣΗ ΒΑΡΩΝ
ΒΟΛΕΫ
ΙΣΤΙΟΠΛΟΪΑ
ΚΑΤΑΔΥΣΕΙΣ
ΚΟΛΥΜΒΗΣΗ
ΚΩΠΗΛΑΣΙΑ
ΜΑΧΗΤΙΚΑ ΑΘΛΗΜΑΤΑ
JUDO
KARATE
KICK BOXING
SHIDOKAN
TAE KWON DO
ΠΥΓΜΑΧΙΑ
ΜΗΧΑΝΟΚΙΝΗΤΟΣ ΑΘΛΗΤΙΣΜΟΣ
ΜΠΙΤΣ ΒΟΛΕΫ
ΟΡΕΙΒΑΣΙΑ-ΧΙΟΝΟΔΡΟΜΙΑ
ΠΑΛΗ
ΠΟΔΗΛΑΣΙΑ
ΡΥΘΜΙΚΗ ΣΥΜΝΑΣΤΙΚΗ
ΣΚΑΚΙ
ΣΚΟΠΟΒΟΛΗ
ΣΤΙΒΟΣ
ΣΥΓΧΡΟΝΙΣΜΕΝΗ ΚΟΛΥΜΒΗΣΗ
ΥΔΑΤΟΣΦΑΙΡΙΣΗ
ΧΕΙΡΟΣΦΑΙΡΙΣΗ
ΒΙΝΤΕΟ
ΓΕΝΙΚΑ
ΜΠΑΣΚΕΤ
Εύκολα ο Παναθηναϊκός κέρδισε 89-99 το Μαρούσι για τη GBL
Επίσημα ποδοσφαιριστής της ΑΕΚ ο Μάρτιν Γκεοργκίεφ
Αποφασισμένοι για το ροζ φύλλο στη Νίκη
Την κορυφαία πολίστρια στον κόσμο Φωτεινή Τριχά υποδέχθηκαν στην ΕΟΕ
ΠΕΡΙΣΣΟΤΕΡΑ
Όλα
ΑΥΤΟΚΙΝΗΤΟ
ΕΚΠΑΙΔΕΥΣΗ
ΕΞΟΔΟΣ
ΖΩΝΤΑΝΗ ΜΟΥΣΙΚΗ
ΦΑΓΗΤΟ
ΨΥΧΑΓΩΓΙΑ
ΚΟΙΝΩΝΙΑ
ΚΟΣΜΟΣ
ΠΑΣΧΑ 2020 – ΜΕΝΟΥΜΕ ΣΠΙΤΙ
ΠΕΡΙΒΑΛΛΟΝ
ΠΟΛΙΤΙΣΜΟΣ
ΕΙΚΑΣΤΙΚΑ
ΜΟΥΣΙΚΗ
ΠΑΡΑΣΤΑΣΕΙΣ
ΠΡΟΒΟΛΕΣ
ΠΡΟΣΩΠΑ
ΡΕΠΟΡΤΑΖ ΤΟΥ ΠΟΛΙΤΗ
ΤΕΧΝΟΛΟΓΙΑ
Το πρόγραμμα των Village Cinemas (01/01-07/01)
«Φον Κουραμπιές εναντίον Κόμη Μελομακαρόνη»!- Στον Βόλο η πιο μαγική χριστουγεννιάτικη…
Απονομή χορηγιών του Οργανισμού Ερατώ
Νεκρή στα 29 της η influencer Daddoa που έκανε το K-beauty…
Αρχική
ΠΕΡΙΣΣΟΤΕΡΑ
ΚΟΣΜΟΣ
Σελίδα 4962
ΚΟΣΜΟΣ
Τυχαίο
Τελευταία
Προτεινόμενες δημοσιεύσεις
Τα πιο δημοφιλή
Δημοφιλή 7 ημερών
Κατά βαθμολογία κριτικής
Τυχαίο
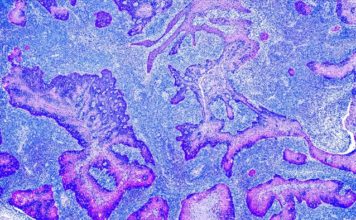
Οι επιστήμονες αποκρυπτογραφούν τον επιθετικό καρκίνο του μαστού
28/12/2018 12:40
Ιταλία: Δεκαοκτώ τραυματίες από χαλάζι μεγέθους πορτοκαλιού
11/07/2019 09:59
Στους 14 οι νεκροί στην Ιταλία – Πάνω από 500 κρούσματα
27/02/2020 14:26
Στις 25 Σεπτεμβρίου η συνάντηση Αναστασιάδη και Ακιντζί με τον ΓΓ...
14/09/2016 15:32
Καθησυχαστικός για Λετονία και κρυπτονομίσματα ο Ντομπρόβσκις
23/02/2018 13:25
Σφοδρές επικρίσεις Πρασίνων κατά Σόιμπλε
13/05/2015 10:22
Τουρκία: Συνολικά 12.801 αστυνομικοί παύθηκαν μετά το αποτυχημένο πραξικόπημα
04/10/2016 09:45
Σεισμός 7 Ρίχτερ κοντά στη Νέα Καληδονία
29/08/2018 09:40
Ο Τραμπ προσκάλεσε τηλεφωνικά τον Πούτιν στην Ουάσινγκτον
02/04/2018 17:34
Βρετανία: Τέλος το εμβόλιο της AstraZeneca για τους κάτω των 40...
07/05/2021 09:34
Ινδία: Περισσότεροι από 1.600 νεκροί από τους μουσώνες
01/10/2019 18:45
Η άτυπη ηγέτιδα της Μιανμάρ αρνείται τα περί εθνοκάθαρσης των μουσουλμάνων...
06/04/2017 13:05
Mαίνεται η πυρκαγιά στην Καλιφόρνια, χιλιάδες εγκαταλείπουν τα σπίτια τους
18/08/2016 09:37
1
...
4.961
4.962
4.963
...
5.078
Σελίδα 4.962 από 5.078