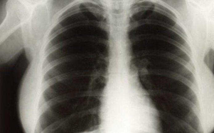
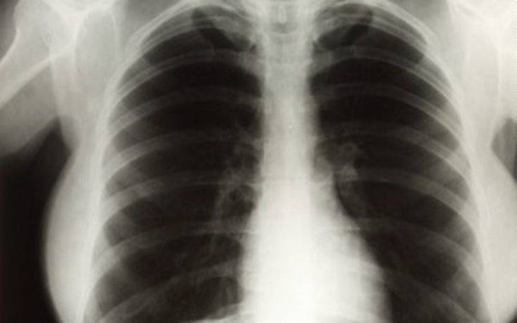
Ένα νέο σύστημα τεχνητής νοημοσύνης της Google Health, θυγατρικής της Google στο πεδίο της «έξυπνης» υγείας, μπορεί να μελετήσει ακτινογραφίες πνευμόνων και να βγάλει συμπεράσματα εξίσου αξιόπιστα με εκείνα των έμπειρων ακτινολόγων. Το σύστημα βαθιάς μάθησης της Google, σύμφωνα με τους δημιουργούς του, μπορεί να αποτελέσει πολύτιμο βοηθό των γιατρών στο μέλλον.
Οι ερευνητές, που έκαναν τη σχετική δημοσίευση στο περιοδικό «Radiology» της Ακτινολογικής Εταιρείας της Βόρειας Αμερικής, εκπαίδευσαν το σύστημά τους τροφοδοτώντας το με περισσότερες από 860.000 ακτινογραφίες. Η ακτινογραφία πνευμόνων είναι από τις συχνότερες εξετάσεις παγκοσμίως, όμως έχει ορισμένους περιορισμούς.
«Βρήκαμε ότι υπεισέρχεται σε μεγάλο βαθμό ο υποκειμενικός παράγοντας στην ερμηνεία της συγκεκριμένης ακτινογραφίας, κάτι που περιορίζει την αποτελεσματικότητά της», ανέφερε ο επικεφαλής ερευνητής της Google Health, Σράβια Σέτι.
«Η ερμηνεία των ακτινογραφιών των πνευμόνων συχνά γίνεται με υποκειμενικό τρόπο, κάτι προβληματικό από την οπτική γωνία της βαθιάς μάθησης. Καταφέραμε να παράγουμε ένα σύστημα που κάνει πιο αξιόπιστη αξιολόγηση», δήλωσε ο συνάδελφός του, Ντάνιελ Τσε.
Οι δοκιμές του συστήματος από επιτροπή ακτινολόγων έδειξαν ότι τα καταφέρνει τουλάχιστον εξίσου καλά με τους γιατρούς στην ανίχνευση διαφόρων προβλημάτων (διάγνωση καταγμάτων, οζιδίων, όγκων, πνευμοθώρακα κ.ά.).



































