Μία 17χρονη Ινδή πήγε στο νοσοκομείο για να εξετάσει μία μάζα που μεγάλωνε στην κοιλιά της τα τελευταία πέντε χρόνια, αυτό που ανακάλυψαν οι γιατροί, όμως, δεν το περίμενε κανείς.
Μέσα στην κοιλιά της νεαρής μεγάλωνε το δίδυμο αδελφάκι της. Πρόκειται για μία εξαιρετικά σπάνια περίπτωση.
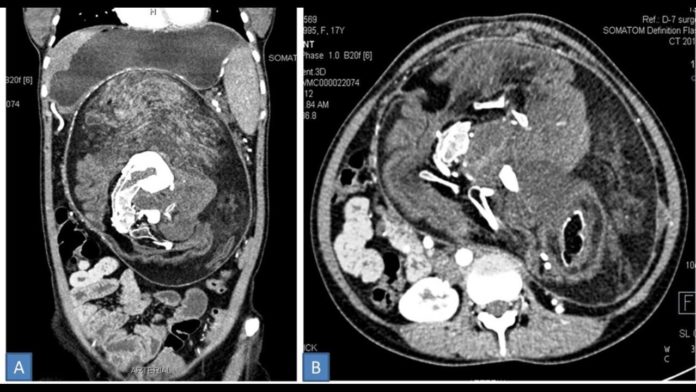
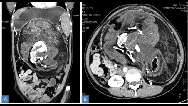
Η νεαρή υποβλήθηκε σε χειρουργική επέμβαση και οι γιατροί εντόπισαν στο σώμα της μία μάζα 35 εκατοστών εντός της οποίας υπήρχαν οστά, δόντια, μαλλιά και «άλλα μέλη», όπως αναφέρουν οι πληροφορίες του Newsweek.
Οι εξετάσεις έδειξαν πως η μάζα προκαλούσε προβλήματα σε όλη την κοιλιακή χώρα της νεαρής, ενώ στην αξονική τομογραφία εμφανίστηκε κάτι που έμοιαζε με πλευρά και νευρώσεις.
Οι γιατροί κατέληξαν πως η Ινδή έπασχε από ένα σύνδρομο το οποίο είναι γνωστό ως «έμβρυο εντός εμβρύου». Πρόκειται για μία περίπτωση που προκύπτει κατά τη διάρκεια της κύησης διδύμων, όταν το ένα καταλήγει στο σώμα του άλλου. Δεν είναι γνωστό το πώς γίνεται, αλλά οι έρευνες δείχνουν πως πιθανότατα το ένα έμβρυο… απορροφά το άλλο.
Είναι λιγότερες από 200 οι περιπτώσεις που έχουν καταγραφεί στα ιατρικά αρχεία.
Η μάζα που έβγαλαν οι γιατροί από την 17χρονη είναι η μεγαλύτερη που έχει εντοπιστεί ποτέ σε ανάλογη περίπτωση.
«Ανησυχούσα πολύ για τη μάζα, μετά την επέμβαση νιώθω πολύ καλά και η κοιλιά μου είναι πια ίσια και οι γονείς μου είναι πολύ χαρούμενοι. Ευχαριστώ σε όλους τους γιατρούς», είπε η ασθενής.
































