ΒΟΛΟΣ
ΑΓΡΙΑ
ΑΓΧΙΑΛΟΣ
ΑΙΣΩΝΙΑ
ΑΡΤΕΜΙΔΑ
ΙΩΛΚΟΣ
ΜΑΚΡΥΝΙΤΣΑ
ΝΕΑ ΙΩΝΙΑ
ΠΟΡΤΑΡΙΑ
ΜΑΓΝΗΣΙΑ
ΑΛΜΥΡΟΣ
ΑΛΟΝΝΗΣΟΣ
ΖΑΓΟΡΑ – ΜΟΥΡΕΣΙ
ΝΟΤΙΟ ΠΗΛΙΟ
ΠΕΡΙΦΕΡΕΙΑ
ΡΗΓΑΣ ΦΕΡΑΙΟΣ
ΣΚΙΑΘΟΣ
ΣΚΟΠΕΛΟΣ
ΘΕΣΣΑΛΙΑ
ΚΑΡΔΙΤΣΑ
ΛΑΡΙΣΑ
ΤΡΙΚΑΛΑ
ΕΛΛΑΔΑ
ΟΙΚΟΝΟΜΙΑ
ΕΠΙΧΕΙΡΗΣΕΙΣ
ΟΙΚΟΝΟΜΙΑ
ΠΑΡΑΠΟΛΙΤΙΚΑ
ΑΘΛΗΤΙΚΑ
ΑΛΛΑ ΑΘΛΗΜΑΤΑ
ΑΝΤΙΣΦΑΙΡΙΣΗ
ΑΡΣΗ ΒΑΡΩΝ
ΒΟΛΕΫ
ΙΣΤΙΟΠΛΟΪΑ
ΚΑΤΑΔΥΣΕΙΣ
ΚΟΛΥΜΒΗΣΗ
ΚΩΠΗΛΑΣΙΑ
ΜΑΧΗΤΙΚΑ ΑΘΛΗΜΑΤΑ
JUDO
KARATE
KICK BOXING
SHIDOKAN
TAE KWON DO
ΠΥΓΜΑΧΙΑ
ΜΗΧΑΝΟΚΙΝΗΤΟΣ ΑΘΛΗΤΙΣΜΟΣ
ΜΠΙΤΣ ΒΟΛΕΫ
ΟΡΕΙΒΑΣΙΑ-ΧΙΟΝΟΔΡΟΜΙΑ
ΠΑΛΗ
ΠΟΔΗΛΑΣΙΑ
ΡΥΘΜΙΚΗ ΣΥΜΝΑΣΤΙΚΗ
ΣΚΑΚΙ
ΣΚΟΠΟΒΟΛΗ
ΣΤΙΒΟΣ
ΣΥΓΧΡΟΝΙΣΜΕΝΗ ΚΟΛΥΜΒΗΣΗ
ΥΔΑΤΟΣΦΑΙΡΙΣΗ
ΧΕΙΡΟΣΦΑΙΡΙΣΗ
ΒΙΝΤΕΟ
ΓΕΝΙΚΑ
ΜΠΑΣΚΕΤ
ΠΕΡΙΣΣΟΤΕΡΑ
ΑΥΤΟΚΙΝΗΤΟ
ΕΚΠΑΙΔΕΥΣΗ
ΕΞΟΔΟΣ
ΖΩΝΤΑΝΗ ΜΟΥΣΙΚΗ
ΦΑΓΗΤΟ
ΨΥΧΑΓΩΓΙΑ
ΚΟΙΝΩΝΙΑ
ΚΟΣΜΟΣ
ΠΑΣΧΑ 2020 – ΜΕΝΟΥΜΕ ΣΠΙΤΙ
ΠΕΡΙΒΑΛΛΟΝ
ΠΟΛΙΤΙΣΜΟΣ
ΕΙΚΑΣΤΙΚΑ
ΜΟΥΣΙΚΗ
ΠΑΡΑΣΤΑΣΕΙΣ
ΠΡΟΒΟΛΕΣ
ΠΡΟΣΩΠΑ
ΡΕΠΟΡΤΑΖ ΤΟΥ ΠΟΛΙΤΗ
ΤΕΧΝΟΛΟΓΙΑ
Αναζήτηση
Δευτέρα, 19 Ιανουαρίου, 2026
Magnesia News
ΒΟΛΟΣ
Όλα
ΑΓΡΙΑ
ΑΓΧΙΑΛΟΣ
ΑΙΣΩΝΙΑ
ΑΡΤΕΜΙΔΑ
ΙΩΛΚΟΣ
ΜΑΚΡΥΝΙΤΣΑ
ΝΕΑ ΙΩΝΙΑ
ΠΟΡΤΑΡΙΑ
Θλίψη στον Βόλο- Έφυγε από την ζωή μια ημέρα μετά την…
Ο σύλλογος Ιδιοκτητών Κέντρων Ξένων Γλωσσών Μαγνησίας αποχαιρετά την Έφη Γραμμενοπούλου-Δέτσικα
Πιάσανε «κόκκινο» τα χλωριόντα σε Βόλο, Διμήνι, Ν. Δημητριάδα και Αλυκές!
Η κοπή πίτας του Εμπορικού Συλλόγου Βόλου και οι ευχές για…
ΜΑΓΝΗΣΙΑ
Όλα
ΑΛΜΥΡΟΣ
ΑΛΟΝΝΗΣΟΣ
ΖΑΓΟΡΑ – ΜΟΥΡΕΣΙ
ΝΟΤΙΟ ΠΗΛΙΟ
ΠΕΡΙΦΕΡΕΙΑ
ΡΗΓΑΣ ΦΕΡΑΙΟΣ
ΣΚΙΑΘΟΣ
ΣΚΟΠΕΛΟΣ
Aποχωρούν τα τρακτέρ από το μπλόκο των Μικροθηβών
Στο υπουργείο Τουρισμού ο δήμαρχος Ρήγα Φεραίου Δημ. Νασίκας
Διαγραφή Μαλαματένια και παραίτηση Κοντοστάθη από την παράταξη του δημάρχου Αλοννήσου…
Πραγματοποιήθηκε το 1ο Περιφερειακό Συμβούλιο με τον νέο έφορο Προσκόπων Μαγνησίας
ΘΕΣΣΑΛΙΑ
Όλα
ΚΑΡΔΙΤΣΑ
ΛΑΡΙΣΑ
ΤΡΙΚΑΛΑ
Τσιάρας για αγρότες μετά τη συνάντηση Μητσοτάκη με τους «σκληρούς των…
Η Περιφέρεια Θεσσαλίας προωθεί την κοινωνική καινοτομία στον δημόσιο τομέα
Δεσμεύονται οι λογαριασμοί 12 αγροτών για παράνομες επιδοτήσεις από τον ΟΠΕΚΕΠΕ
Έφτασαν στο Μαξίμου οι αγρότες για την κρίσιμη συνάντηση με τον…
ΕΛΛΑΔΑ
Οι πρώτες εικόνες από την ταφή της πριγκίπισσας Ειρήνης στο Τατόι
Τον σκότωσε με 2 μαχαιριές
Χειμώνα διαρκείας με τσουχτερό κρύο «βλέπει» ο Κολυδάς
Η Τυχεροπούλου συνεχίζει τις βαριές καταγγελίες για τον ΟΠΕΚΕΠΕ-«Κύκλωμα στελεχών μαζι…
Ο Γιάννης Παπαμιχαήλ χώρισε από τη σύζυγό του, έναν χρόνο μετά…
ΟΙΚΟΝΟΜΙΑ
Όλα
ΕΠΙΧΕΙΡΗΣΕΙΣ
ΟΙΚΟΝΟΜΙΑ
Πιερρακάκης από Eurogroup: Ανάγκη για απτά αποτελέσματα σε σύντομο χρονικό διάστημα
Νέα εποχή για τον ΟΠΑΠ: Η εποχή της Allwyn είναι εδώ!
ΣΕΒ για Νίκο Στασινόπουλο: Αφησε ισχυρό και διαρκές αποτύπωμα στην ελληνική…
Η Lidl Ελλάς ενισχύει το κοινωνικό της έργο: Νέα καμπάνια αναδεικνύει…
ΠΑΡΑΠΟΛΙΤΙΚΑ
ΑΘΛΗΤΙΚΑ
Όλα
ΑΛΛΑ ΑΘΛΗΜΑΤΑ
ΑΝΤΙΣΦΑΙΡΙΣΗ
ΑΡΣΗ ΒΑΡΩΝ
ΒΟΛΕΫ
ΙΣΤΙΟΠΛΟΪΑ
ΚΑΤΑΔΥΣΕΙΣ
ΚΟΛΥΜΒΗΣΗ
ΚΩΠΗΛΑΣΙΑ
ΜΑΧΗΤΙΚΑ ΑΘΛΗΜΑΤΑ
JUDO
KARATE
KICK BOXING
SHIDOKAN
TAE KWON DO
ΠΥΓΜΑΧΙΑ
ΜΗΧΑΝΟΚΙΝΗΤΟΣ ΑΘΛΗΤΙΣΜΟΣ
ΜΠΙΤΣ ΒΟΛΕΫ
ΟΡΕΙΒΑΣΙΑ-ΧΙΟΝΟΔΡΟΜΙΑ
ΠΑΛΗ
ΠΟΔΗΛΑΣΙΑ
ΡΥΘΜΙΚΗ ΣΥΜΝΑΣΤΙΚΗ
ΣΚΑΚΙ
ΣΚΟΠΟΒΟΛΗ
ΣΤΙΒΟΣ
ΣΥΓΧΡΟΝΙΣΜΕΝΗ ΚΟΛΥΜΒΗΣΗ
ΥΔΑΤΟΣΦΑΙΡΙΣΗ
ΧΕΙΡΟΣΦΑΙΡΙΣΗ
ΒΙΝΤΕΟ
ΓΕΝΙΚΑ
ΜΠΑΣΚΕΤ
Ολοκληρώθηκε η τοποθέτηση ταρτάν στο Στάδιο Σκιάθου
Κυριακοπούλου: «Προπονητικά υπάρχει μια μικρή μοναξιά στον Βόλο»
Παραιτήθηκε ο Γκουγκουτούδης και οι συνεργάτες του στο Αιγάλεω
Αποτελέσματα-βαθμολογία σε 1ο όμιλο Α2 (11η αγωνιστική) και Β’ ΕΣΚΑΘ (7η…
ΠΕΡΙΣΣΟΤΕΡΑ
Όλα
ΑΥΤΟΚΙΝΗΤΟ
ΕΚΠΑΙΔΕΥΣΗ
ΕΞΟΔΟΣ
ΖΩΝΤΑΝΗ ΜΟΥΣΙΚΗ
ΦΑΓΗΤΟ
ΨΥΧΑΓΩΓΙΑ
ΚΟΙΝΩΝΙΑ
ΚΟΣΜΟΣ
ΠΑΣΧΑ 2020 – ΜΕΝΟΥΜΕ ΣΠΙΤΙ
ΠΕΡΙΒΑΛΛΟΝ
ΠΟΛΙΤΙΣΜΟΣ
ΕΙΚΑΣΤΙΚΑ
ΜΟΥΣΙΚΗ
ΠΑΡΑΣΤΑΣΕΙΣ
ΠΡΟΒΟΛΕΣ
ΠΡΟΣΩΠΑ
ΡΕΠΟΡΤΑΖ ΤΟΥ ΠΟΛΙΤΗ
ΤΕΧΝΟΛΟΓΙΑ
Το νέο βιβλίο «ΕΛΕΥΣΙΝΑΔΕ» της Βολιώτισσας Αριστέας Ευαγγελούση
Τριήμερο εθνικό πένθος κηρύχθηκε στην Ισπανία για το σιδηροδρομικό δυστύχημα –…
Παρουσιάζεται στον Βόλο το βιβλίο «Παιδαγωγική του Πολέμου» του καθηγητή Αντώνη…
Οι πρώτες εκτιμήσεις για τα αίτια της σιδηροδρομικής τραγωδίας στην Ισπανία…
Αρχική
ΘΕΣΣΑΛΙΑ
ΛΑΡΙΣΑ
Σελίδα 1261
ΛΑΡΙΣΑ
Τυχαίο
Τελευταία
Προτεινόμενες δημοσιεύσεις
Τα πιο δημοφιλή
Δημοφιλή 7 ημερών
Κατά βαθμολογία κριτικής
Τυχαίο
Βαριά μηχανήματα «πέταξαν» από το αγρόκτημα του ΤΕΙ
21/09/2017 10:01
Λάρισα: Φράχτες και ηχοπετάσματα στις γραμμές του ΟΣΕ
08/01/2021 09:22
Προχωρούν για το εμπορευματικό κέντρο στη Λάρισα
04/07/2017 09:15
Τα αμερικανικά UAV’s έρχονται στην Ελλάδα – Αντιπροσωπείες 11 χωρών στη...
02/12/2019 18:46
Συναγερμός στην Ελασσόνα: Εξι αθλήτριες με κορωνοϊό -150 άτομα σε καραντίνα
19/10/2020 20:19
Aλλοδαποί βίασαν ομοεθνή τους στον Αμπελώνα – Τρεις συλλήψεις
20/12/2019 13:18
Ξεκινάει η κατασκευή κτιρίου για το Ειδικό Σχολείο Λάρισας
25/06/2018 18:21
Oμολόγησε την υπεξαίρεση ο ταμίας Υπεραστικού ΚΤΕΛ – Επέστρεψε στις φυλακές
26/11/2024 09:12
To Διαχρονικό Μουσείο Λάρισας διεκδικεί το βραβείο για το Ευρωπαϊκό Μουσείο...
04/12/2017 17:22
Απίθανες προσφορές στο Fashion City Outlet!
07/07/2023 14:44
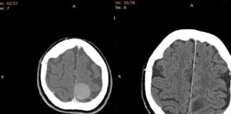
Η Α’ Νευροχειρουργική Κλινική του ΙΑΣΩ Θεσσαλίας αντιμέτωπη με μια νέα...
28/07/2021 10:14
«Λουκέτο» 15 ημερών και πρόστιμο 3.000 ευρώ σε μπαρ και μεζεδοπωλείο...
07/07/2020 10:46
Σύγκρουση αυτοκινήτου με μηχανάκι στο κέντρο της Λάρισας
07/08/2018 12:39
1
...
1.260
1.261
1.262
...
1.512
Σελίδα 1.261 από 1.512