ΒΟΛΟΣ
ΑΓΡΙΑ
ΑΓΧΙΑΛΟΣ
ΑΙΣΩΝΙΑ
ΑΡΤΕΜΙΔΑ
ΙΩΛΚΟΣ
ΜΑΚΡΥΝΙΤΣΑ
ΝΕΑ ΙΩΝΙΑ
ΠΟΡΤΑΡΙΑ
ΜΑΓΝΗΣΙΑ
ΑΛΜΥΡΟΣ
ΑΛΟΝΝΗΣΟΣ
ΖΑΓΟΡΑ – ΜΟΥΡΕΣΙ
ΝΟΤΙΟ ΠΗΛΙΟ
ΠΕΡΙΦΕΡΕΙΑ
ΡΗΓΑΣ ΦΕΡΑΙΟΣ
ΣΚΙΑΘΟΣ
ΣΚΟΠΕΛΟΣ
ΘΕΣΣΑΛΙΑ
ΚΑΡΔΙΤΣΑ
ΛΑΡΙΣΑ
ΤΡΙΚΑΛΑ
ΕΛΛΑΔΑ
ΟΙΚΟΝΟΜΙΑ
ΕΠΙΧΕΙΡΗΣΕΙΣ
ΟΙΚΟΝΟΜΙΑ
ΠΑΡΑΠΟΛΙΤΙΚΑ
ΑΘΛΗΤΙΚΑ
ΑΛΛΑ ΑΘΛΗΜΑΤΑ
ΑΝΤΙΣΦΑΙΡΙΣΗ
ΑΡΣΗ ΒΑΡΩΝ
ΒΟΛΕΫ
ΙΣΤΙΟΠΛΟΪΑ
ΚΑΤΑΔΥΣΕΙΣ
ΚΟΛΥΜΒΗΣΗ
ΚΩΠΗΛΑΣΙΑ
ΜΑΧΗΤΙΚΑ ΑΘΛΗΜΑΤΑ
JUDO
KARATE
KICK BOXING
SHIDOKAN
TAE KWON DO
ΠΥΓΜΑΧΙΑ
ΜΗΧΑΝΟΚΙΝΗΤΟΣ ΑΘΛΗΤΙΣΜΟΣ
ΜΠΙΤΣ ΒΟΛΕΫ
ΟΡΕΙΒΑΣΙΑ-ΧΙΟΝΟΔΡΟΜΙΑ
ΠΑΛΗ
ΠΟΔΗΛΑΣΙΑ
ΡΥΘΜΙΚΗ ΣΥΜΝΑΣΤΙΚΗ
ΣΚΑΚΙ
ΣΚΟΠΟΒΟΛΗ
ΣΤΙΒΟΣ
ΣΥΓΧΡΟΝΙΣΜΕΝΗ ΚΟΛΥΜΒΗΣΗ
ΥΔΑΤΟΣΦΑΙΡΙΣΗ
ΧΕΙΡΟΣΦΑΙΡΙΣΗ
ΒΙΝΤΕΟ
ΓΕΝΙΚΑ
ΜΠΑΣΚΕΤ
ΠΕΡΙΣΣΟΤΕΡΑ
ΑΥΤΟΚΙΝΗΤΟ
ΕΚΠΑΙΔΕΥΣΗ
ΕΞΟΔΟΣ
ΖΩΝΤΑΝΗ ΜΟΥΣΙΚΗ
ΦΑΓΗΤΟ
ΨΥΧΑΓΩΓΙΑ
ΚΟΙΝΩΝΙΑ
ΚΟΣΜΟΣ
ΠΑΣΧΑ 2020 – ΜΕΝΟΥΜΕ ΣΠΙΤΙ
ΠΕΡΙΒΑΛΛΟΝ
ΠΟΛΙΤΙΣΜΟΣ
ΕΙΚΑΣΤΙΚΑ
ΜΟΥΣΙΚΗ
ΠΑΡΑΣΤΑΣΕΙΣ
ΠΡΟΒΟΛΕΣ
ΠΡΟΣΩΠΑ
ΡΕΠΟΡΤΑΖ ΤΟΥ ΠΟΛΙΤΗ
ΤΕΧΝΟΛΟΓΙΑ
Αναζήτηση
Κυριακή, 21 Δεκεμβρίου, 2025
Magnesia News
ΒΟΛΟΣ
Όλα
ΑΓΡΙΑ
ΑΓΧΙΑΛΟΣ
ΑΙΣΩΝΙΑ
ΑΡΤΕΜΙΔΑ
ΙΩΛΚΟΣ
ΜΑΚΡΥΝΙΤΣΑ
ΝΕΑ ΙΩΝΙΑ
ΠΟΡΤΑΡΙΑ
Μαθητές του 8ου Γενικού Λυκείου Βόλου ερευνούν ιστορικά και σύγχρονα… εγκλήματα…
Η πολυκατοικία που συνδυάζει design και ποιότητα στην «καρδιά» του Βόλου…
Διάκριση έξι μαθητών/-τριών της Α΄ τάξης του Γυμνασίου Νέας Αγχιάλου στον…
Σε γιορτινούς ρυθμούς η αγορά του Βόλου- Όλο το εορταστικό ωράριο
ΜΑΓΝΗΣΙΑ
Όλα
ΑΛΜΥΡΟΣ
ΑΛΟΝΝΗΣΟΣ
ΖΑΓΟΡΑ – ΜΟΥΡΕΣΙ
ΝΟΤΙΟ ΠΗΛΙΟ
ΠΕΡΙΦΕΡΕΙΑ
ΡΗΓΑΣ ΦΕΡΑΙΟΣ
ΣΚΙΑΘΟΣ
ΣΚΟΠΕΛΟΣ
Αποχαιρετά τον πρόεδρο της Τοπικής Κοινότητας Πινακατών Νικ. Παππά, ο Δήμος…
Αυτό είναι το εργαστήριο που μπλόκαρε την ευλογιά πριν καταστρέψει την…
Πως θα κινηθεί ο καιρός μέχρι τα Χριστούγεννα στη Μαγνησία-Πότε έρχονται…
Ζαφείρης για αγροτικά μπλόκα: Θα οδηγηθούμε σε Χριστούγεννα με πληρότητες, στην…
ΘΕΣΣΑΛΙΑ
Όλα
ΚΑΡΔΙΤΣΑ
ΛΑΡΙΣΑ
ΤΡΙΚΑΛΑ
Οι μαθητές της Δημοτικής Μουσικής Σχολής Φαρσάλων παρουσιάζουν τα «Αστέρια των…
«Έφυγε» από τη ζωή 45χρονος
«Στον αέρα 900 εργαζόμενοι στη ΔΥΠΑ»: Καταγγελία Κόκκαλη για εργασιακό «κραχ»…
Ν. Φαραντούρης: «Ενίσχυση και μεταφορά του Υπουργείου Αγροτικής Ανάπτυξης στην περιφέρεια»
ΕΛΛΑΔΑ
«Καμπανάκι» για την εκτόξευση των κρουσμάτων της εποχικής γρίπης κατά τις…
Μητσοτάκης για αγρότες: Η επιμονή σε μια στείρα άρνηση διαλόγου δεν…
Θρήνος για τον θάνατο του 37χρονου σε τροχαίο
Τσακώνονται στο Twitter Τζάκρη – Μυλωνάκης: «Να απολογηθεί για τον ΟΠΕΚΕΠΕ»
Πηγές ΥΠΕΘΑ για αναβολές στράτευσης: Ουδείς που σπουδάζει ή διαμένει ήδη…
ΟΙΚΟΝΟΜΙΑ
Όλα
ΕΠΙΧΕΙΡΗΣΕΙΣ
ΟΙΚΟΝΟΜΙΑ
Επίδομα θέρμανσης: Πότε πληρώνεται η προκαταβολή – Ποιοι οι δικαιούχοι
Πρόγραμμα για την επιχειρηματικότητα ανέργων 18-29 ετών – Ποιοι οι δικαιούχοι
Συντάξεις, δώρα και επιδόματα «γεμίζουν» τις τσέπες πριν τις γιορτές
Ηλεκτρονικές αποδείξεις: Τι πρέπει να κλείσει μέχρι τέλος 2025 για να…
ΠΑΡΑΠΟΛΙΤΙΚΑ
ΑΘΛΗΤΙΚΑ
Όλα
ΑΛΛΑ ΑΘΛΗΜΑΤΑ
ΑΝΤΙΣΦΑΙΡΙΣΗ
ΑΡΣΗ ΒΑΡΩΝ
ΒΟΛΕΫ
ΙΣΤΙΟΠΛΟΪΑ
ΚΑΤΑΔΥΣΕΙΣ
ΚΟΛΥΜΒΗΣΗ
ΚΩΠΗΛΑΣΙΑ
ΜΑΧΗΤΙΚΑ ΑΘΛΗΜΑΤΑ
JUDO
KARATE
KICK BOXING
SHIDOKAN
TAE KWON DO
ΠΥΓΜΑΧΙΑ
ΜΗΧΑΝΟΚΙΝΗΤΟΣ ΑΘΛΗΤΙΣΜΟΣ
ΜΠΙΤΣ ΒΟΛΕΫ
ΟΡΕΙΒΑΣΙΑ-ΧΙΟΝΟΔΡΟΜΙΑ
ΠΑΛΗ
ΠΟΔΗΛΑΣΙΑ
ΡΥΘΜΙΚΗ ΣΥΜΝΑΣΤΙΚΗ
ΣΚΑΚΙ
ΣΚΟΠΟΒΟΛΗ
ΣΤΙΒΟΣ
ΣΥΓΧΡΟΝΙΣΜΕΝΗ ΚΟΛΥΜΒΗΣΗ
ΥΔΑΤΟΣΦΑΙΡΙΣΗ
ΧΕΙΡΟΣΦΑΙΡΙΣΗ
ΒΙΝΤΕΟ
ΓΕΝΙΚΑ
ΜΠΑΣΚΕΤ
Εκτός με Κηφισιά σήμερα Κυριακή (21/12) ο ΝΠΣ Βόλος για την…
Επτά αγώνες σήμερα Κυριακή (21/12) για τα πρωταθλήματα ΕΠΣΘ
Νίκες για ΑΕΚ, Παναθηναϊκό, ΠΑΟΚ και Άρη στην GBL
Έκανε την έκπληξη η Κηφισιά και πήρε 1-1 στο “Γ. Καραϊσκάκης”…
ΠΕΡΙΣΣΟΤΕΡΑ
Όλα
ΑΥΤΟΚΙΝΗΤΟ
ΕΚΠΑΙΔΕΥΣΗ
ΕΞΟΔΟΣ
ΖΩΝΤΑΝΗ ΜΟΥΣΙΚΗ
ΦΑΓΗΤΟ
ΨΥΧΑΓΩΓΙΑ
ΚΟΙΝΩΝΙΑ
ΚΟΣΜΟΣ
ΠΑΣΧΑ 2020 – ΜΕΝΟΥΜΕ ΣΠΙΤΙ
ΠΕΡΙΒΑΛΛΟΝ
ΠΟΛΙΤΙΣΜΟΣ
ΕΙΚΑΣΤΙΚΑ
ΜΟΥΣΙΚΗ
ΠΑΡΑΣΤΑΣΕΙΣ
ΠΡΟΒΟΛΕΣ
ΠΡΟΣΩΠΑ
ΡΕΠΟΡΤΑΖ ΤΟΥ ΠΟΛΙΤΗ
ΤΕΧΝΟΛΟΓΙΑ
Προβολή και συζήτηση για το ντοκιμαντέρ «Επιστροφή στην πατρίδα»
Ιστορική διπλή μεταμόσχευση για 11χρονη- Ξεκινά από την αρχή με καινούρια…
Χριστούγεννα στη Βιβλιοθήκη του Πορφυρογένειου Πολιτιστικού Κέντρου Αγριάς
Εμφάνιση στον Βόλο αύριο, για τον Απόστολο Μόσιο
Αρχική
ΠΕΡΙΣΣΟΤΕΡΑ
ΚΟΣΜΟΣ
Σελίδα 10
ΚΟΣΜΟΣ
Τα πιο δημοφιλή
Τελευταία
Προτεινόμενες δημοσιεύσεις
Τα πιο δημοφιλή
Δημοφιλή 7 ημερών
Κατά βαθμολογία κριτικής
Τυχαίο
Λύθηκε το μυστήριο με τον «Χάρο» στην τελετή στέψης του Βασιλιά Καρόλου
08/05/2023 11:12
Η τεχνητή νοημοσύνη «μίλησε»: Έτσι θα ήταν σήμερα η Νταϊάνα ως Βασίλισσα
07/05/2023 11:07
«Θηλάζω τον σύντροφό μου πριν το σεξ»
22/10/2021 07:23
Δύο αδερφές βρέθηκαν νεκρές στο σπίτι τους υπό αδιευκρίνιστες συνθήκες
27/07/2022 16:30
Η συντριβή του Καρόλου μπροστά στο φέρετρο της μητέρας του
12/09/2022 19:53
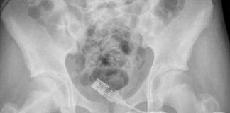
Έβαλε καλώδιο USB στο πέος του και κατέληξε στο νοσοκομείο
17/09/2021 16:22
Του έκανε έξωση ο σπιτονοικοκύρης του και αυτός ανατίναξε το διαμέρισμα
14/01/2022 16:36
«Με ανάγκασε να κάνω τρίο»
28/07/2022 12:29
Τι σημαίνει όταν το self test δείχνει μια αχνή γραμμή
04/01/2022 16:04
Βρέθηκε νεκρή λίγο πριν το γάμο της
31/08/2022 12:21
Ποιοι λήπτες του εμβολίου της Pfizer μπορεί να εμφανίσουν πρήξιμο
07/05/2021 17:30
Κόρη ιερέα άφησε την εκκλησία και γυρνάει πορνό
28/07/2021 08:59
Έκανε το εμβόλιο της Pfizer και η παρενέργεια ήταν ότι… μεγάλωσε...
11/07/2021 20:56
1
...
9
10
11
...
4.893
Σελίδα 10 από 4.893