ΒΟΛΟΣ
ΑΓΡΙΑ
ΑΓΧΙΑΛΟΣ
ΑΙΣΩΝΙΑ
ΑΡΤΕΜΙΔΑ
ΙΩΛΚΟΣ
ΜΑΚΡΥΝΙΤΣΑ
ΝΕΑ ΙΩΝΙΑ
ΠΟΡΤΑΡΙΑ
ΜΑΓΝΗΣΙΑ
ΑΛΜΥΡΟΣ
ΑΛΟΝΝΗΣΟΣ
ΖΑΓΟΡΑ – ΜΟΥΡΕΣΙ
ΝΟΤΙΟ ΠΗΛΙΟ
ΠΕΡΙΦΕΡΕΙΑ
ΡΗΓΑΣ ΦΕΡΑΙΟΣ
ΣΚΙΑΘΟΣ
ΣΚΟΠΕΛΟΣ
ΘΕΣΣΑΛΙΑ
ΚΑΡΔΙΤΣΑ
ΛΑΡΙΣΑ
ΤΡΙΚΑΛΑ
ΕΛΛΑΔΑ
ΟΙΚΟΝΟΜΙΑ
ΕΠΙΧΕΙΡΗΣΕΙΣ
ΟΙΚΟΝΟΜΙΑ
ΠΑΡΑΠΟΛΙΤΙΚΑ
ΑΘΛΗΤΙΚΑ
ΑΛΛΑ ΑΘΛΗΜΑΤΑ
ΑΝΤΙΣΦΑΙΡΙΣΗ
ΑΡΣΗ ΒΑΡΩΝ
ΒΟΛΕΫ
ΙΣΤΙΟΠΛΟΪΑ
ΚΑΤΑΔΥΣΕΙΣ
ΚΟΛΥΜΒΗΣΗ
ΚΩΠΗΛΑΣΙΑ
ΜΑΧΗΤΙΚΑ ΑΘΛΗΜΑΤΑ
JUDO
KARATE
KICK BOXING
SHIDOKAN
TAE KWON DO
ΠΥΓΜΑΧΙΑ
ΜΗΧΑΝΟΚΙΝΗΤΟΣ ΑΘΛΗΤΙΣΜΟΣ
ΜΠΙΤΣ ΒΟΛΕΫ
ΟΡΕΙΒΑΣΙΑ-ΧΙΟΝΟΔΡΟΜΙΑ
ΠΑΛΗ
ΠΟΔΗΛΑΣΙΑ
ΡΥΘΜΙΚΗ ΣΥΜΝΑΣΤΙΚΗ
ΣΚΑΚΙ
ΣΚΟΠΟΒΟΛΗ
ΣΤΙΒΟΣ
ΣΥΓΧΡΟΝΙΣΜΕΝΗ ΚΟΛΥΜΒΗΣΗ
ΥΔΑΤΟΣΦΑΙΡΙΣΗ
ΧΕΙΡΟΣΦΑΙΡΙΣΗ
ΒΙΝΤΕΟ
ΓΕΝΙΚΑ
ΜΠΑΣΚΕΤ
ΠΕΡΙΣΣΟΤΕΡΑ
ΑΥΤΟΚΙΝΗΤΟ
ΕΚΠΑΙΔΕΥΣΗ
ΕΞΟΔΟΣ
ΖΩΝΤΑΝΗ ΜΟΥΣΙΚΗ
ΦΑΓΗΤΟ
ΨΥΧΑΓΩΓΙΑ
ΚΟΙΝΩΝΙΑ
ΚΟΣΜΟΣ
ΠΑΣΧΑ 2020 – ΜΕΝΟΥΜΕ ΣΠΙΤΙ
ΠΕΡΙΒΑΛΛΟΝ
ΠΟΛΙΤΙΣΜΟΣ
ΕΙΚΑΣΤΙΚΑ
ΜΟΥΣΙΚΗ
ΠΑΡΑΣΤΑΣΕΙΣ
ΠΡΟΒΟΛΕΣ
ΠΡΟΣΩΠΑ
ΡΕΠΟΡΤΑΖ ΤΟΥ ΠΟΛΙΤΗ
ΤΕΧΝΟΛΟΓΙΑ
Αναζήτηση
Πέμπτη, 1 Ιανουαρίου, 2026
Magnesia News
ΒΟΛΟΣ
Όλα
ΑΓΡΙΑ
ΑΓΧΙΑΛΟΣ
ΑΙΣΩΝΙΑ
ΑΡΤΕΜΙΔΑ
ΙΩΛΚΟΣ
ΜΑΚΡΥΝΙΤΣΑ
ΝΕΑ ΙΩΝΙΑ
ΠΟΡΤΑΡΙΑ
Λίγες βροχές το 2025 στον Βόλο
Θλίψη για τον θάνατο Βολιώτη
Σε εορταστικούς ρυθμούς η Ερμού στον Βόλο λίγο πριν την έλευση…
«Είμαι…πόρνη, πάτερ μου»- Μια συγκινητική ιστορία για την συγχώρεση από τον…
ΜΑΓΝΗΣΙΑ
Όλα
ΑΛΜΥΡΟΣ
ΑΛΟΝΝΗΣΟΣ
ΖΑΓΟΡΑ – ΜΟΥΡΕΣΙ
ΝΟΤΙΟ ΠΗΛΙΟ
ΠΕΡΙΦΕΡΕΙΑ
ΡΗΓΑΣ ΦΕΡΑΙΟΣ
ΣΚΙΑΘΟΣ
ΣΚΟΠΕΛΟΣ
Το magnesianews.gr σας εύχεται ένα καλύτερο 2026 με μια υπόσχεση
Δυναμικά παρούσα η Μαγνησία στο… ρεβεγιόν του Μπλόκου της Νίκαιας
Ιγνάτιος: «Να ικετεύουμε τον Κύριο να μας χαρίζει πνευματική ευφορία»
Μεταξάς: Το σχέδιο της κυβέρνησης να συκοφαντήσει τον αγώνα των βιοπαλαιστών…
ΘΕΣΣΑΛΙΑ
Όλα
ΚΑΡΔΙΤΣΑ
ΛΑΡΙΣΑ
ΤΡΙΚΑΛΑ
Με μουσική, φαγητό και… gluhwein κάνουν πρωτοχρονιάτικο ρεβεγιόν οι αγρότες στο…
Η έκπληξη του Κουρέτα στους εργαζόμενους της Περιφέρειας (φωτογραφίες)
Αυτός είναι ο αναπληρωτής Περιφερειάρχης Θεσσαλίας
Με κάλαντα και χαμόγελα ολοκληρώθηκε η χρονιά στο γραφείο του Περιφερειάρχη…
ΕΛΛΑΔΑ
27χρονη μπήκε στο νοσοκομείο με πυρετό και πέθανε
«Η χειροβομβίδα δεν εξερράγη στα χέρια του Ραφαήλ»
Μητσοτάκης: Να υποδεχτούμε με αυτοπεποίθηση και αισιοδοξία την αυγή του νέου…
Τα πολιτικά πρόσωπα που έφυγαν από τη ζωή το 2025 και…
Ανδρουλάκης: «Για τη χώρα μας, το 2026, είναι η χρονιά που…
ΟΙΚΟΝΟΜΙΑ
Όλα
ΕΠΙΧΕΙΡΗΣΕΙΣ
ΟΙΚΟΝΟΜΙΑ
Παράταση ενός μήνα στις επιχειρήσεις για την ολοκλήρωση εκκρεμοτήτων στο ΓΕΜΗ
Μειώσεις φόρων, αλλαγές σε ΦΠΑ και ΕΝΦΙΑ, μισθούς και συντάξεις –…
Φθηνό ρεύμα για 100.000 νοικοκυριά – Ενεργοποιείται το πρόγραμμα «Απόλλων» για…
Τι συμβαίνει με την άδεια αν δεν τη λάβεις μέσα στο…
ΠΑΡΑΠΟΛΙΤΙΚΑ
ΑΘΛΗΤΙΚΑ
Όλα
ΑΛΛΑ ΑΘΛΗΜΑΤΑ
ΑΝΤΙΣΦΑΙΡΙΣΗ
ΑΡΣΗ ΒΑΡΩΝ
ΒΟΛΕΫ
ΙΣΤΙΟΠΛΟΪΑ
ΚΑΤΑΔΥΣΕΙΣ
ΚΟΛΥΜΒΗΣΗ
ΚΩΠΗΛΑΣΙΑ
ΜΑΧΗΤΙΚΑ ΑΘΛΗΜΑΤΑ
JUDO
KARATE
KICK BOXING
SHIDOKAN
TAE KWON DO
ΠΥΓΜΑΧΙΑ
ΜΗΧΑΝΟΚΙΝΗΤΟΣ ΑΘΛΗΤΙΣΜΟΣ
ΜΠΙΤΣ ΒΟΛΕΫ
ΟΡΕΙΒΑΣΙΑ-ΧΙΟΝΟΔΡΟΜΙΑ
ΠΑΛΗ
ΠΟΔΗΛΑΣΙΑ
ΡΥΘΜΙΚΗ ΣΥΜΝΑΣΤΙΚΗ
ΣΚΑΚΙ
ΣΚΟΠΟΒΟΛΗ
ΣΤΙΒΟΣ
ΣΥΓΧΡΟΝΙΣΜΕΝΗ ΚΟΛΥΜΒΗΣΗ
ΥΔΑΤΟΣΦΑΙΡΙΣΗ
ΧΕΙΡΟΣΦΑΙΡΙΣΗ
ΒΙΝΤΕΟ
ΓΕΝΙΚΑ
ΜΠΑΣΚΕΤ
Τσουκαλάς: «Έπεσα κάτω και οι Σέρβοι με κλοτσούσαν, δεν ξέρω αν…
Λήξη συναγερμού για Ρομπέρτο Κάρλος: «Δεν έπαθα καρδιακή προσβολή»
Επέστρεψε στην Κ19 της Νίκης ο Αλέξανδρος Γκάγκας
Ο Πέτρος Τσιτσιμπής στην ΠΑΕ Παναθηναϊκός
ΠΕΡΙΣΣΟΤΕΡΑ
Όλα
ΑΥΤΟΚΙΝΗΤΟ
ΕΚΠΑΙΔΕΥΣΗ
ΕΞΟΔΟΣ
ΖΩΝΤΑΝΗ ΜΟΥΣΙΚΗ
ΦΑΓΗΤΟ
ΨΥΧΑΓΩΓΙΑ
ΚΟΙΝΩΝΙΑ
ΚΟΣΜΟΣ
ΠΑΣΧΑ 2020 – ΜΕΝΟΥΜΕ ΣΠΙΤΙ
ΠΕΡΙΒΑΛΛΟΝ
ΠΟΛΙΤΙΣΜΟΣ
ΕΙΚΑΣΤΙΚΑ
ΜΟΥΣΙΚΗ
ΠΑΡΑΣΤΑΣΕΙΣ
ΠΡΟΒΟΛΕΣ
ΠΡΟΣΩΠΑ
ΡΕΠΟΡΤΑΖ ΤΟΥ ΠΟΛΙΤΗ
ΤΕΧΝΟΛΟΓΙΑ
To Κιριμπάτι είναι η πρώτη χώρα που υποδέχθηκε το 2026
«Τα παιδιά που ζωγράφιζαν»: Παιδική θεατρική παράσταση από τα «Θεατροταξίδια»
Νεαρός επιχειρηματίας στα 15: Πώς από το δωμάτιό του έβγαλε εισόδημα…
Οι διάσημοι που «έφυγαν» το 2025: Από τον Πάπα Φραγκίσκο και…
Αρχική
ΠΕΡΙΣΣΟΤΕΡΑ
ΚΟΣΜΟΣ
Σελίδα 124
ΚΟΣΜΟΣ
Τα πιο δημοφιλή
Τελευταία
Προτεινόμενες δημοσιεύσεις
Τα πιο δημοφιλή
Δημοφιλή 7 ημερών
Κατά βαθμολογία κριτικής
Τυχαίο
Λύθηκε το μυστήριο με τον «Χάρο» στην τελετή στέψης του Βασιλιά Καρόλου
08/05/2023 11:12
Η τεχνητή νοημοσύνη «μίλησε»: Έτσι θα ήταν σήμερα η Νταϊάνα ως Βασίλισσα
07/05/2023 11:07
«Θηλάζω τον σύντροφό μου πριν το σεξ»
22/10/2021 07:23
Έλαβε με το ταχυδρομείο ένα μαχαίρι με κόκκινα στίγματα
26/04/2021 19:39
Δικαστής ζητά να κρεμαστεί live ο δολοφόνος φοιτήτριας που αρνήθηκε την...
27/07/2022 11:11
Η φωτογραφία που προκαλεί παγκόσμιο συναγερμό: Εθεάθη ο Πούτιν με το...
09/04/2022 19:10
Σοκάρει ο θάνατος 6χρονου- Το πτώμα του βρέθηκε μέσα σε τσάντα
03/06/2021 12:49
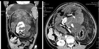
Σπάνια περίπτωση: Οι γιατροί δεν πίστευαν αυτό που βρήκαν στην κοιλιά...
30/08/2019 20:03
Παγιδευμένος στις φλόγες ψιθύριζε «σ’ αγαπώ» στη γυναίκα του
12/09/2022 15:32
«Έφαγε» τον δίδυμο αδερφό της όταν ήταν έμβρυα και απέκτησε σημάδι
13/07/2022 08:07
Στα 12 την πάντρεψαν, στα 14 έμεινε έγκυος και στα 17...
08/02/2022 15:04
Μαρτυρίες από γιατρούς στην Ουχάν: «Μας είπαν να πούμε ψέματα, ξέραμε...
19/01/2021 14:15
Κατέρρευσε επί σκηνής την ώρα του σόου του και πέθανε (βίντεο)
12/03/2023 17:17
1
...
123
124
125
...
4.893
Σελίδα 124 από 4.893